一個慵懶的午後,
斜斜的陽光照射進來,陽光從樹影縫隙中悄悄溜進候診區...
「嗨!」此時進來了一對男女,男孩的聲音清脆又厚實,大方的跟我們打了聲招呼。
「您好~請問有來過嗎?有需要什麼牙科的服務呢?」
「是這樣的...」女孩略略皺了皺眉:「我曾經來過,洗過牙,很喜歡你們的服務。然後我男朋友他...」
「哎呀!我女朋友嫌我嘴巴有菸臭,牙齒又因為喝咖啡很黃,所以不讓我靠近她!」
男生表情一臉苦瓜,無奈地說。
他的身體微微晃了一下,看得出來他們倆人都為此感到很困擾。
「沒有問題!請讓我們幫助你。首先,我們會先幫您預約看診,讓醫師評估一下口腔狀況喔!」
「麻煩你了,如果可以的話能盡快嗎?」女孩眼神閃亮堅定,斜睨了男孩一眼「我們要準備結婚了,下個月就要拍婚紗...」
「沒有問題!請交給我。」
-------------------------------------------------------------------------------------------------
預約的時間到了,兩人還提早了三分鐘出現在一樓候診區。
「您好~請先讓我幫您拍一張口腔的X光照片,這樣可以看出骨頭的情形,讓醫師有辦法進行更全面的評估喔。」
「好...但在拍之前,可以先聽一下我的心聲嗎?」
「啊?」
男孩面色凝重,整張臉微微揪著,鼻頭微微沁出了汗珠
他小心翼翼地說:
「我真的很怕看牙齒。」
「別擔心,我們醫師會評估您的情形進行治療的,會看您的情況然後...」
「不,我真的很怕那個機機磯的聲音。」他打斷道
「咻咻咻的吸水聲、還有伴隨牙齒好酸的感覺...啊啊啊」
男孩突然停了下來,手指在手裡捏來捏去,關節都捏白了。
女孩嘆了口氣:「他在別家診所遇到過很沒有耐性的醫師,就這樣怕了好久沒有來檢查牙齒。要不是因為要結婚了,必須處理牙齒的問題,不然我也請不動他。」
「我明白了。」
我告知了醫生、助理這樣的情況,大家都有共識。
畢竟,擁有這樣經歷然後極度害怕看牙的人實在多得不勝枚舉。
沒有同理心就沒有辦法同理害怕的患者,這正是我們身為牙科醫療從業人員最基本具備的要件。
「X先生,我們可以慢慢先從解釋療程開始,等你準備好我們才會開始噢。我們診所也備有水雷射機台可以免去那磯機磯的機器聲,是比較新穎的牙科機器。真的害怕,我們也有舒眠的輔助療程,有興趣我們都可以再多加介紹沒問題的。」
「好...謝謝你。」
-------------------------------------------------------------------------------------------------
看到這邊,是不是心有戚戚?
我們了解你的擔心跟煩憂。
這個故事很有可能就發生在你或我之間,因為曾經的不好的看牙經驗讓你從此都懼怕看牙齒這件事,更何況每半年的洗牙檢查?已經好幾年都沒有看牙了...
請來家源牙醫診所,讓我們協助你解決這個問題。
故事的結尾是很棒的,
男孩跟女孩開心地舉辦了完美的婚禮。
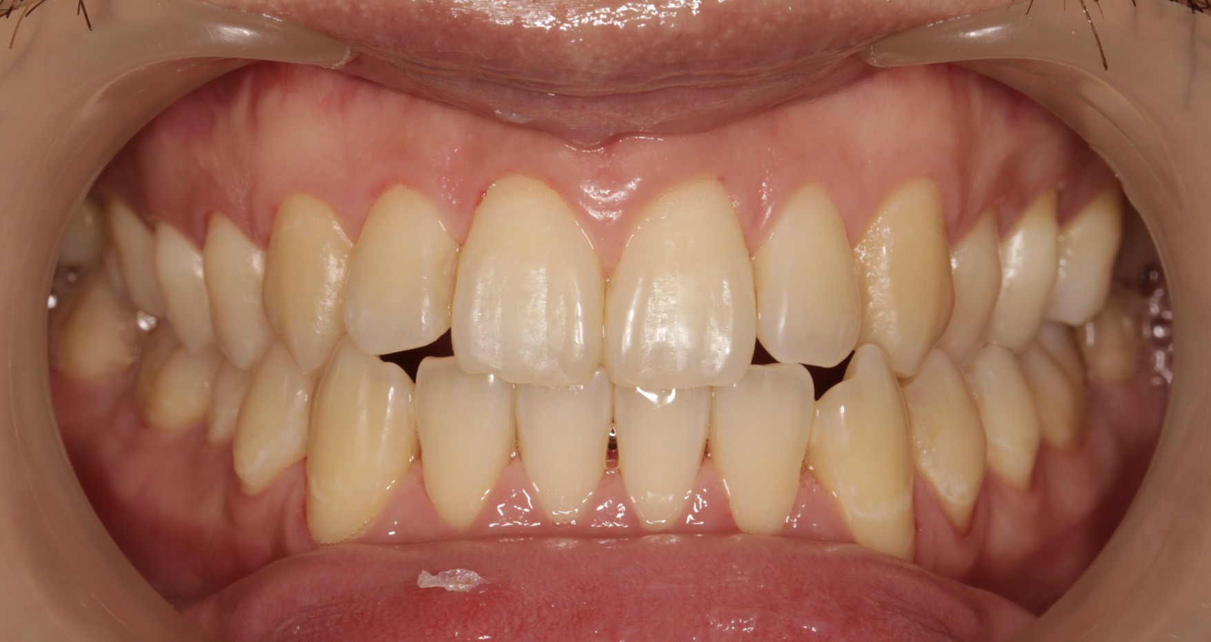
你看,這是冷光美白之前:

這是冷光美白之後:

讓家源 把這分喜悅的感覺繼續傳下去~
全球先進SSL 256bit傳輸加密機制